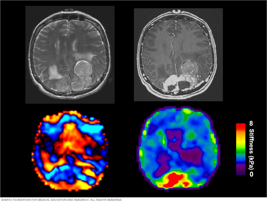
Brain glioblastoma distal from the lateral ventricle Clinical interaction of glioblastoma and subventricular zone

The lateral ventricles in the human brain contain the subventricular zone, an area that maintains production of new neurons in adults. Patients with glioblastoma distal from the lateral ventricle have a better life expectancy than those with tumors contacting the lateral ventricle.

Focus Areas

Mayo Clinic regularly ranks in the top 10 nationally for National Institutes of Health (NIH) funding among radiology departments. Collaboration among radiologists, physicists and dedicated research scientists keeps the clinic at the leading edge of developing, testing and improving imaging technology. As a result, proven innovations are brought into clinical practice to help people as quickly and safely as possible. Researchers also share their results on a current pace of more than 900 radiology research publications each year so that advances can benefit people worldwide.

Laboratories and research centers in Mayo Clinic's Department of Radiology are exploring several different areas to improve patient care. Laboratories and research groups associated with the department include:

Related research laboratories