Images

Clinical Innovations
  • Temporal resolution in Cardiac CT: 83 vs. 165 ms
    Temporal Resolution in Cardiac CT

    The improved temporal resolution of dual-source CT can be illustrated by comparing a dual tube reconstruction (83 msec) to a single tube reconstruction (165 msec) for the same raw data, cardiac phase, and 3D orientation. This patient had a mean heart rate of 90 bpm.

  • Images from the 80 kV tube and 140 kV tube from a dual energy CT enterography exam
    Improved Lesion Visualization

    Images from the 80 kV tube and 140 kV tube from a dual energy CT enterography exam. The total radiation dose used was equivalent to the dose from a single phase of our routine 120 kV enterography exam.

    The 80 kV image demonstrates the increased iodine contrast at the lower tube energy, which highlights mucosal hyperenhancement in the terminal ileum in this 20-year-old male with active inflammatory Crohn's disease.

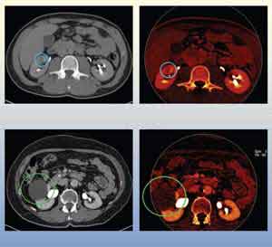
  • Images from two dual-energy CT urogram cases
    Soft Tissue Removal

    Because cysts and masses can have similar attenuation characteristics, it can be difficult to discern the lesion type. Dual energy CT can be used to distinguish cysts from masses because cysts do not absorb iodine. These images are from two dual-energy CT urogram cases. From the iodine enhanced scans (Left, top and bottom), images containing only iodine signal can be created (Right, top and bottom). Cysts will appear black in these images, indicating a lack of blood flow to the area (Right, bottom). A mass, which was a Grade 3 renal cell carcinoma, appears red like the other iodine-enhanced regions (Right, top).


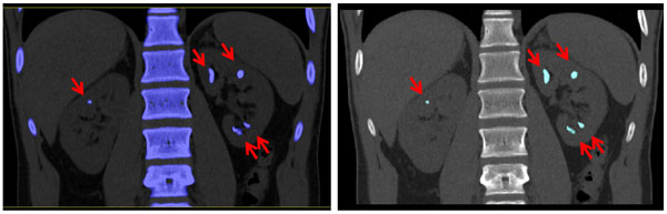
  • Image of a dual energy CT urogram study
    Iodine Removal

    Dual energy CT can be used to electronically remove iodine signal from a contrast-enhanced dual energy scan. In this dual energy CT urogram study, the renal calculus (arrow) visible in the true non-contrast scan (Top left) is hidden in the contrast-enhanced scan (Top right). Through the use of the "virtual, non-contrast" dual energy application, the iodine can be electronically removed, revealing the renal calculus (Bottom). This application could potentially replace the need for the true non-contrast portion of a CT urogram, thus lowering patient dose.

  • Image of Dual energy CT images before and after bone removal
    Bone Removal

    Dual energy CT can be used to automatically "subtract" bone signal from CT angiographic studies in order to better visualize vessel anatomy.

    The bone signal can be quickly turned "on" (Left top and bottom) or "off" (Right top and bottom), allowing surgeons to easily view not only the vascular tree but also the bony anatomic landmarks essential for surgical planning.

  • Image of dual energy CT visualizing blood perfusion deficits
    Perfusion Blood Volume Imaging

    Dual energy CT can be utilized to visualize blood perfusion deficits (arrow) secondary to the presence of pulmonary emboli. The colored regions indicate the perfused blood volume.

  • Image of renal stones
    Renal Stone Composition

    Dual energy CT can be used to identify specific materials. This is clinically important when the materials look similar using single energy CT. In these non-contrast renal stone exams, the stones (arrows) appear to be comprised of similar materials in the traditional "black and white" images (Left top and bottom).

    Dual energy processing can differentiate and "color code" uric acid stones (red) vs. non-uric acid stones (blue) (Right top and bottom).

    Learn more (340KB PDF)

  • Image of renal stones
    Renal Stone Composition

    Newer analysis techniques can further identify sub-classes of non-uric acid stones.

    Using commercial software, multiple renal stones in this patient were determined to be of non-UA composition, color coded in blue. Further analysis suggested the stones to be either calcium oxalate or brushite. Later analysis by micro-CT and infrared spectroscopy confirmed the stone to be calcium oxalate.

  • Dual energy CT images of hands and feet with gout
    Gout Identification

    Dual energy can easily distinguish uric acid crystals (gout), which are color-coded green, from calcium-containing crystals (such as calcium pyrophosphate dihydrate), which are color coded purple, similar to bone.